EasyDigital - implant dentistry made simple, easy and affordable
Neoss4+™ clinical case

Immediate implant placement in the maxilla and full-arch rehabilitation

Dr. Dr. Dominic Hützen, MD, DDS

Implantologist
Mülheim an der Ruhr, Germany

Case facts

Patient:

A 78-year-old female patient in generally good health.

Clinical problem:

The patient presents with a failing tooth-supported telescopic bridge in the maxilla. The remaining maxillary teeth cannot be saved and require extraction.

Clinical solution:

The extraction of three maxillary teeth, followed by the immediate placement of four implants. Two of the posterior implants are placed at an angle for optimal support. Multi-Unit Abutments are installed immediately after implant placement. A provisional screw-retained bridge is placed on the same day as the surgery, with the final prosthesis scheduled for future placement.

 
Treatment plan:

– Extraction of three maxillary teeth.
– Immediate placement of four implants.
– Installation of four Multi-Unit Abutments.
– Use of four Multi-Unit Impression Coping Closed Tray.
– Application of four Multi-Unit Healing Caps.
– Installation of provisional screw-retained bridge.

Products:

4 Neoss ProActive Edge implants
4 Multi-Unit Abutment 30° 3.0 mm
4 Multi-Unit Impression Coping Closed Tray 6 mm
4 Multi-Unit Healing Cap

Conclusion:

The Neoss4+ treatment solution for the upper jaw involves the placement of four implants with Multi-Unit Abutments. A provisional screw-retained prosthesis is fitted on the same day as the surgery, with plans for the final prosthesis to be placed at a later date.

Step by step

Step by step

Figure 1.
Figure 1.
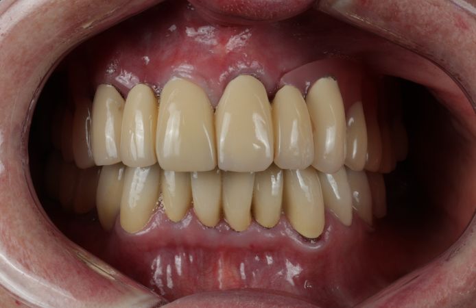
Initial clinical situation with existing telescopic bridge in place in the upper jaw.
Figure 2.
Figure 2.
Initial clinical situation after removal of failing telescopic bridge.
Figure 3.
Figure 3.
Extraction of failing teeth in anterior maxilla.
Figure 4.
Figure 4.
Occlusal view after extraction. A full thickness flap was raised from molar area to molar area and the bone crest was levelled.
Figure 5.
Figure 5.
Four Neoss ProActive Edge implants were immediately installed. The anterior implants were 4.0 x 15 mm.
Figure 6.
Figure 6.
The two posterior implants (4.5 x 15 mm) were tilted to maximize the distance between the implants, to avoid the sinus, to maximize the contact with available bone, and to increase stability.
Figure 7.
Figure 7.
Occlusal view of the placed implants
Figure 8.
Figure 8.
Neoss Multi-Unit Abutment 30° 3.0 mm. The angulated abutments are delivered with a plastic holder to facilitate installation.
Figure 9.
Figure 9.
Placement of four Neoss Multi-Unit Abutments 30° 3.0 mm. The abutments were torqued to 32 Ncm.
Figure 10.
Figure 10.
The angulated Neoss Multi-Unit Abutments re-aligned the prosthesis interfaces to achieve a passive fit of the prosthesis.
Figure 11.
Figure 11.
Neoss Multi-Unit Impression Copings Closed Tray were placed on abutment level.
Figure 12.
Figure 12.
Soft tissue sutured around impression copings for impression taking using closed impression technique.
Figure 13.
Figure 13.
Neoss Multi-Unit Healing Caps were placed on the Multi-Unit abutments.
Figure 14.
Figure 14.
CBCT image showing implant positions and re-angulation with Multi-Unit Abutments to achieve parallel prosthetic platforms.
Figure 15.
Figure 15.
Sheffield testing on model to check passive fit of the provisional framework on implants.
Figure 16.
Figure 16.
A metal framework covered with composite was manufactured in the lab. Try-in of screw retained provisional restoration on model.
Figure 17.
Figure 17.
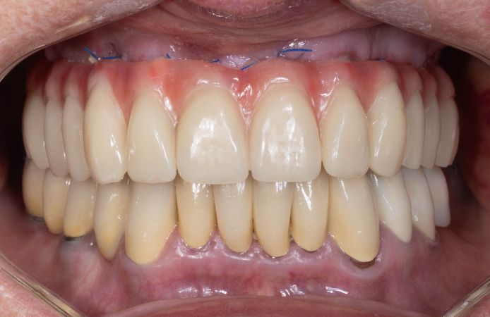
The provisional restoration was delivered the day after surgery. Facial view.
Figure 18.
Figure 18.
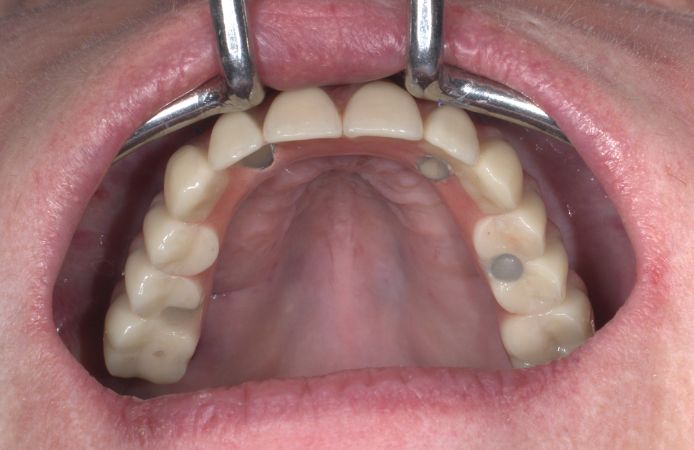
Provisional restoration, occlusal view.
Figure 19.
Figure 19.
Facial view of patient when removing stitches 7 days after surgery.

Downloads

Downloads

Neoss4+ treatment solution
Neoss4+ treatment solution
Multi-Unit Abutments product sheet
Multi-Unit Abutments product sheet
Neoss ProActive Edge
Neoss ProActive Edge
ProActive System Implant Box product sheet
ProActive System Implant Box product sheet