EasyDigital - implant dentistry made simple, easy and affordable
NeoTell® clinical case

Implant stability measurements with Neoss NeoTell

Dr. Safa Somi, DDS

Specialist in prosthodontics
London, United Kingdom

Case facts

Patient:

A 67-year-old female patient with a recent extraction of the right maxillary central incisor.

Clinical problem:

Maxillary central incisor with a vertical root fracture and recurring gingival abscess. After extraction, a large buccal bone defect was revealed.

Clinical solution:

A 67-year-old female patient presented with a recent extraction of the right maxillary central incisor due to vertical root fracture and recurring gingival abscess.

 
Treatment plan:

Early implant placement of a Neoss ProActive Straight Implant 8 weeks after tooth extraction.

Products:

Neoss ProActive Straight implant
Neoss NeoTell
Neoss SmartPeg

Conclusion:

Early implant placement of a Neoss ProActive Straight Implant 8 weeks after tooth extraction. ISQ readings showed high stability of the implants, aiding in the decision to proceed with delivery of the definitive implant-supported crown.

Step by step

Step by step

Figure 1.
Figure 1.
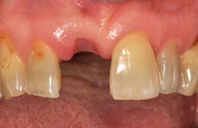
Eight weeks post extraction. The patient had an immediate partial denture as provisional.
Figure 2.
Figure 2.
A mucoperiostal flap was raised, revealing a large buccal bony defect. A Neoss ProActive Straight implant was placed with simultaneous bone grafting. A tooth supported provisional restoration allowed for undisturbed healing.
Figure 3.
Figure 3.
Four months of healing. Buccolingual and mesio-distal ISQ readings show high stability of the implants (BL 68, MD 68), allowing to proceed with delivery of the definitive implant-supported crown.
Figure 4.
Figure 4.
Four months of healing. ISQ value measurement using the Neoss NeoTell unit with 45° angle and 2-4 mm distance from the SmartPeg.
Figure 5.
Figure 5.
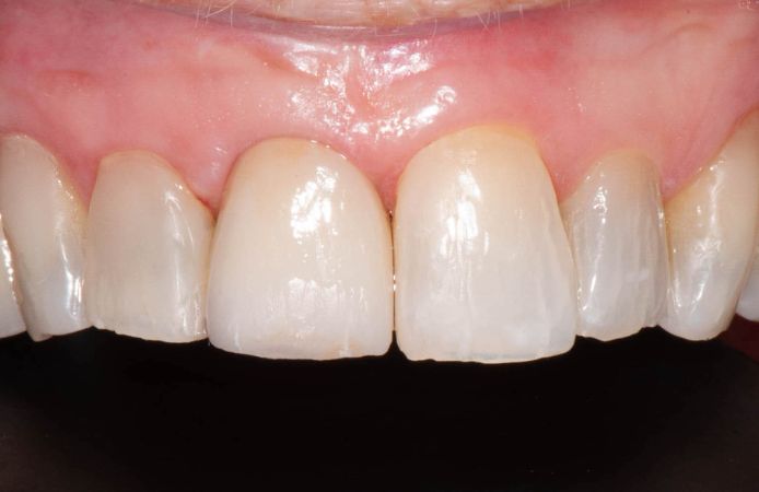
Final screw-retained implantsupported zirconia crown. While waiting for healing the patient had tooth whitening and restoration of non-carious cervical cavities on adjacent teeth.

Downloads

Downloads

NeoTell Brochure
NeoTell Brochure
NeoTell Quick Guide
NeoTell Quick Guide
Product Catalogue 2023 | 2024
Product Catalogue 2023 | 2024