Clinical Case: Neoss ProActive® Implants

3D bone regeneration on the posterior maxilla

using Neoss ProActive Implants and Khoury´s SBB technique

Dr. David González

DDS, M.Sc., PhD

Master in Periodontics and PhD Doctor at Complutense University of Madrid.

Private practice at Clínica Ortoperio in Murcia, Spain.

Facts

Patient:

40 years old woman, non-smoker, medically healthy.

Clinical problem:

Patient  presented bone atrophy at left posterior maxilla missing 26 and 27.

Clinical solution:

3D bone regeneration in the posterior maxilla using the Khoury’s SBB technique with 100% autogenous bone and subsequent placement of Neoss ProActive® implants in a case of severe vertical ridge atrophy.

 
 
Treatment plan:
Products:

2 Neoss ProActive® Straight implants (4.5 x 11 mm)

 
Conclusion:

3D bone regeneration performing the SBB technique by using 100% autogenous bone (blocks and scraped chips bone) is a fully predictable treatment for the severe bone atrophy on the posterior maxilla and Neoss ProActive® Implants can be placed confidently to restore severely atrophied alveolar ridges.

 

Step by step

Step by step

Figure 1.
Figure 1.
Palatal view of the left posterior maxilla showing severe bone atrophy. Full thickness incision to expose the alveolar ridge.
Figure 2.
Figure 2.
Bone harvest from the right external oblique line.
Figure 3.
Figure 3.
Block at the resorbed left posterior maxilla before raising the flap.
Figure 4.
Figure 4.
After raising the flap a 9 mm vertical defect was found.
Figure 5.
Figure 5.
A split bone block was fixed by screws at the coronal aspect of the alveolar ridge from peak to peak.
Figure 6.
Figure 6.
The gap between the block and the alveolar ridge was filled with scraped bone chips.
Figure 7.
Figure 7.
Another split block was used to cover the exposed scraped bone chips.
Figure 8.
Figure 8.
Coronal view of the bone graft.
Figure 9.
Figure 9.
Sutures.
Figure 10.
Figure 10.
After 4 months of healing reentry was carried out.
Figure 11.
Figure 11.
Lateral view showing complete bone regeneration.
Figure 12.
Figure 12.
Complete vertical bone regeneration
Figure 13.
Figure 13.
2 Neoss ProActive® Straight implants (4.5 x 11 mm) were placed.
Figure 14.
Figure 14.
Occlusal view of the implants.
Figure 15.
Figure 15.
2 months later a Free Gingival Graft was placed to reposition the mucogingival line.
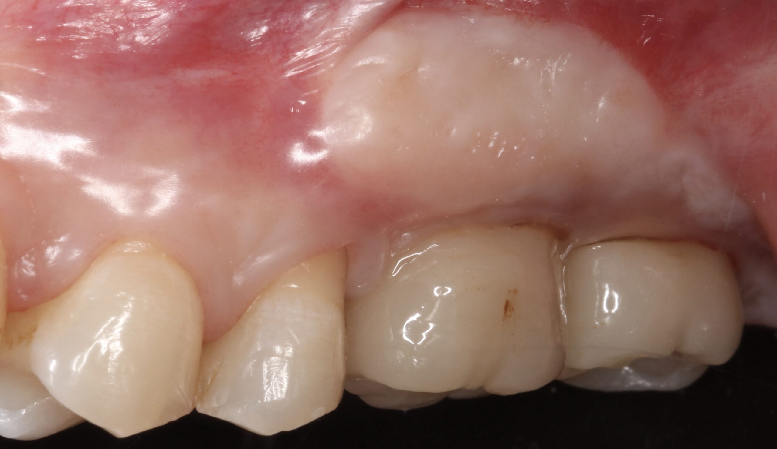
Figure 16.
Figure 16.
Final crowns at 26 and 27 two years after loading.
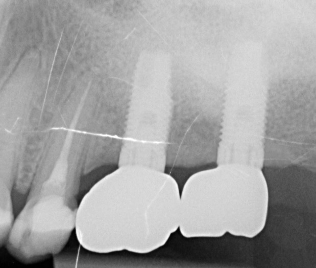
Figure 17.
Figure 17.
Periapical x-ray 2 years after loading.

Downloads

Downloads

Regenerative Materialien
Regenerative Materialien