Immediate implant placement in the mandible and full-arch rehabilitation
Dr. Stefano Sicuro, DDS
Advanced Implant Prosthesis Team Leader
Maglie (LE), Italy
Case facts
Patient:
A male patient in his 60s with failing teeth in both jaws requiring extraction
Clinical problem:
The patient has failing teeth in both jaws that need extraction.Post-extraction and during the healing process,there is significant atrophy of the upper and lower jaw,resulting in reduced bone volumes both horizontally and vertically.Additionally,there is limited adherent gingiva in the lower arch.
Clinical solution:
Start with the mandible and extract the teeth and the placement of four implants to enable immediate full-arch rehabilitation.
Treatment plan:
- Extraction of six teeth in the lower jaw.
- Immediate placement of four implants with Multi-Unit Abutments.
- Provisional screw-retained bridge placement during the preparation of the final prosthesis.
Products:
4 Neoss ProActive Tapered implants
2 Multi-Unit Abutment 3.0 mm
2 Multi-Unit Abutment 30° 3.0 mm
4 Multi-Unit Impression coping Open tray 6 mm
4 Multi-Unit Healing Cap
Conclusion:
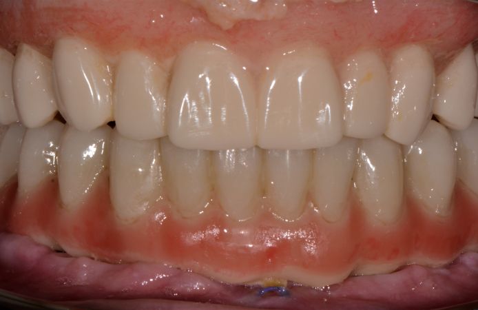
The patient received a screw-retained bridge in the lower jaw 48 hours after surgery. In the upper jaw, the patient was rehabilitated with a removable prosthesis. The patient is scheduled to return for the placement of the final prosthesis and full-arch treatment for the upper jaw at a later date.
Step by step
Step by step
Figure 1.
Figure 2.
Figure 3.
Figure 4.
Figure 5.
Figure 6.
Figure 7.
Figure 8.
Figure 9.
Figure 10.
Figure 11.
Figure 12.
Figure 13.